
Breed: American Quarter Horse
Gender: Mare
Age: 9 years old
Discipline: Western Performance
Scarlett, a 12-year-old American Quarter Horse from Texas, competes regularly as a stock horse. Rider Kailey and owner Tiffany noticed issues in Scarlett’s front limbs during work, although subtle and inconsistent. The local veterinarian referred Scarlett to Dr Beau Whitaker at Brazos Valley Equine Hospital in Salado, TX, for a full diagnostic evaluation.
Beau Whitaker is a partner at Brazos Valley Equine Hospital in Salado, Texas, where he focuses on equine sports medicine, rehabilitation, regenerative therapies and diagnostic imaging. He has helped develop the clinic’s lameness and performance medicine services since joining in 2007 and is a Certified Equine Rehabilitation Practitioner (CERP).
In this case, Scarlett presented with bilateral front limb lameness, which is not unusual in western performance horses. Blocking one limb often reveals lameness in the other.
Beau's initial trot and longe evaluations also showed inconsistent, mild left front asymmetry. A flexion test revealed a positive response in the left front lower limb. Baseline measurements with Sleip confirmed the findings, most noticeable on the left circle.


Based on the flexion test response, Beau performed a sequence of nerve blocks targeting Scarlett’s left front limb:

Finally, a proximal suspensory block on the left front resolved the left-sided asymmetry but uncovered a previously masked right front lameness.

A subsequent abaxial block on the right front worsened the asymmetry, suggesting a right front proximal suspensory issue.
“At that point, we went to imaging, given the likelihood of bilateral proximal suspensory issues,” Dr Beau Whitaker explains.
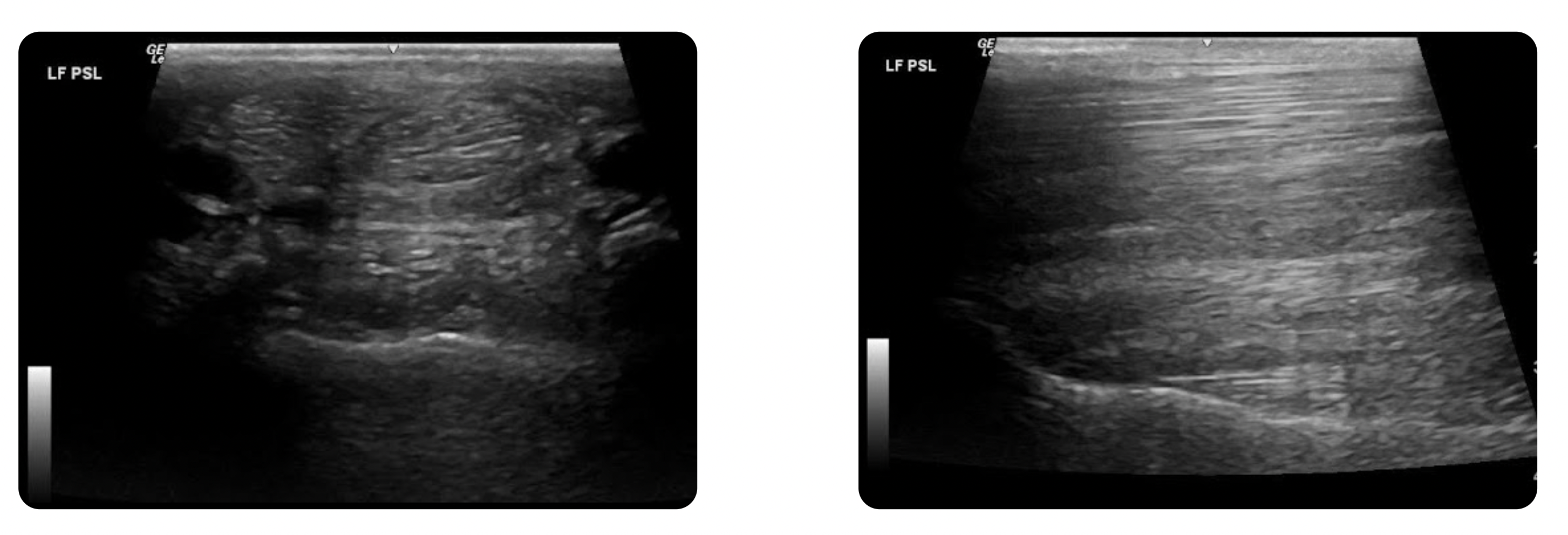
Ultrasound revealed signs of chronic scar tissue and mixed echogenicity in both left and right front proximal suspensory ligaments. The findings were consistent with a chronic active proximal suspensory desmitis, indicating a wear-and-tear issue rather than an acute injury.
“If I hadn’t seen anything on the imaging, I would have gone back to blocking the right front limb”, says Dr Beau Whitaker.


The treatment plan included a series of three shock wave therapies as well as suspensory support shoes and continued light exercise at a walk.
As Scarlett and her owners live some distance away from his clinic, they are using the Sleip app so that Dr Beau Whitaker can monitor progress remotely. Tiffany records Scarlett weekly on the circle, with the analysis data and video automatically uploaded to Beau’s phone.
“They live over three hours away, so this setup means I can monitor weekly without them having to travel,” he says. “If there’s no improvement soon, we’ll bring her back in. I’m also considering regenerative therapy if needed.”

Beau Whitaker notes the potential for baseline data from repeated use of the app on other horses to aid in interpretation.
“I have some clients who record their horses for me at home every other week, so we have a baseline that allows us to pick up on changes. We correlate the Sleip app with how the horse feels in the saddle, and then we can decide if we need to bring the horse in to have a look at it.
In many cases the asymmetry parameters do not fully go away, but we can see that the horse functions and that the pain component seems to go away.
“We see this frequently, and it is a good take-home I think. Horses can have slight asymmetries and function well; most have some degree of natural asymmetry. We need to be attuned to the pain component and have a holistic approach to both diagnostics and rehabilitation”, concludes Dr Beau Whitaker.

Raised on a farm near Nashville, Tennessee, Dr. Whitaker earned his Animal Science degree from Oklahoma State University and his veterinary degree from Texas A&M University in 2005. His early career included an internship at Arizona Equine Hospital and a veterinary role at the 6666's Ranch in Guthrie, Texas. Beau has been practicing in Salado since 2007, joining Brazos Valley Equine Hospital Salado in 2015.
Beyond his clinical work, Beau volunteers with Horse Empowered Learning Programs (HELP), a nonprofit offering therapeutic riding for people with physical, cognitive or emotional challenges. His involvement spans herd care, board service and scholarship selection. In 2022, he was awarded the AAEP’s Good Works for Horses Grand Prize for his contributions.
Outside the clinic, Dr Whitaker enjoys drawing, the outdoors and spending time with his wife and two daughters.