
Breed: Arabian gelding
Age: 10 year old
Gender: Gelding
Presenting complaint: Lame LF after a somewhat technical trail ride.
General: Good body condition, normal vital signs.
Feet: Normal shoeing package, well-balanced. Hoof testers negative
Palpation: LF fetlock is warm and has moderate effusion; painful on flexion. No other abnormalities detected.
Gait evaluation: 3/5 lame LF (AAEP scale)
Diagnostic analgesia (blocking):
LF low PD: no change
LF fetlock: 90% improved
Radiographs:
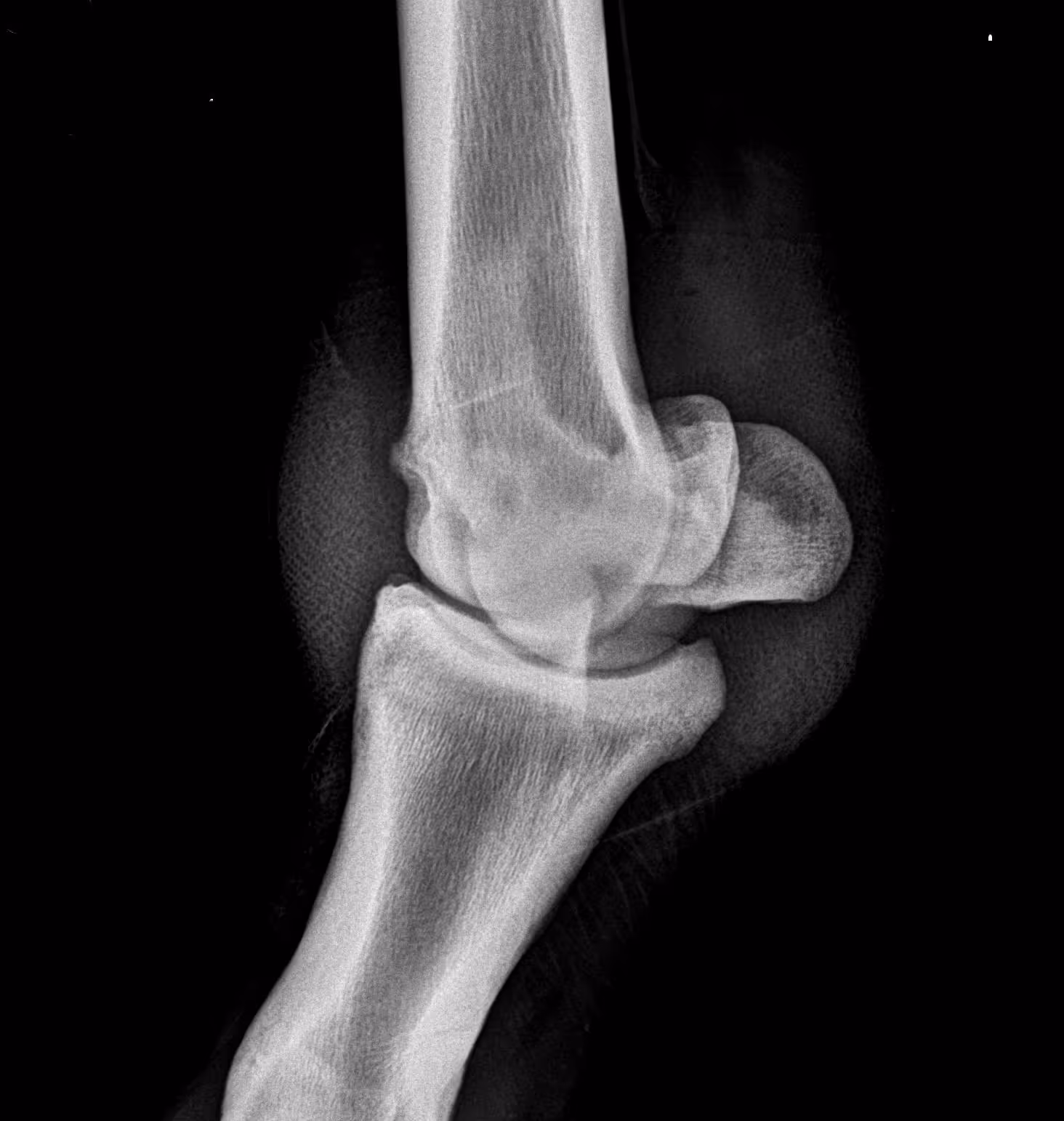
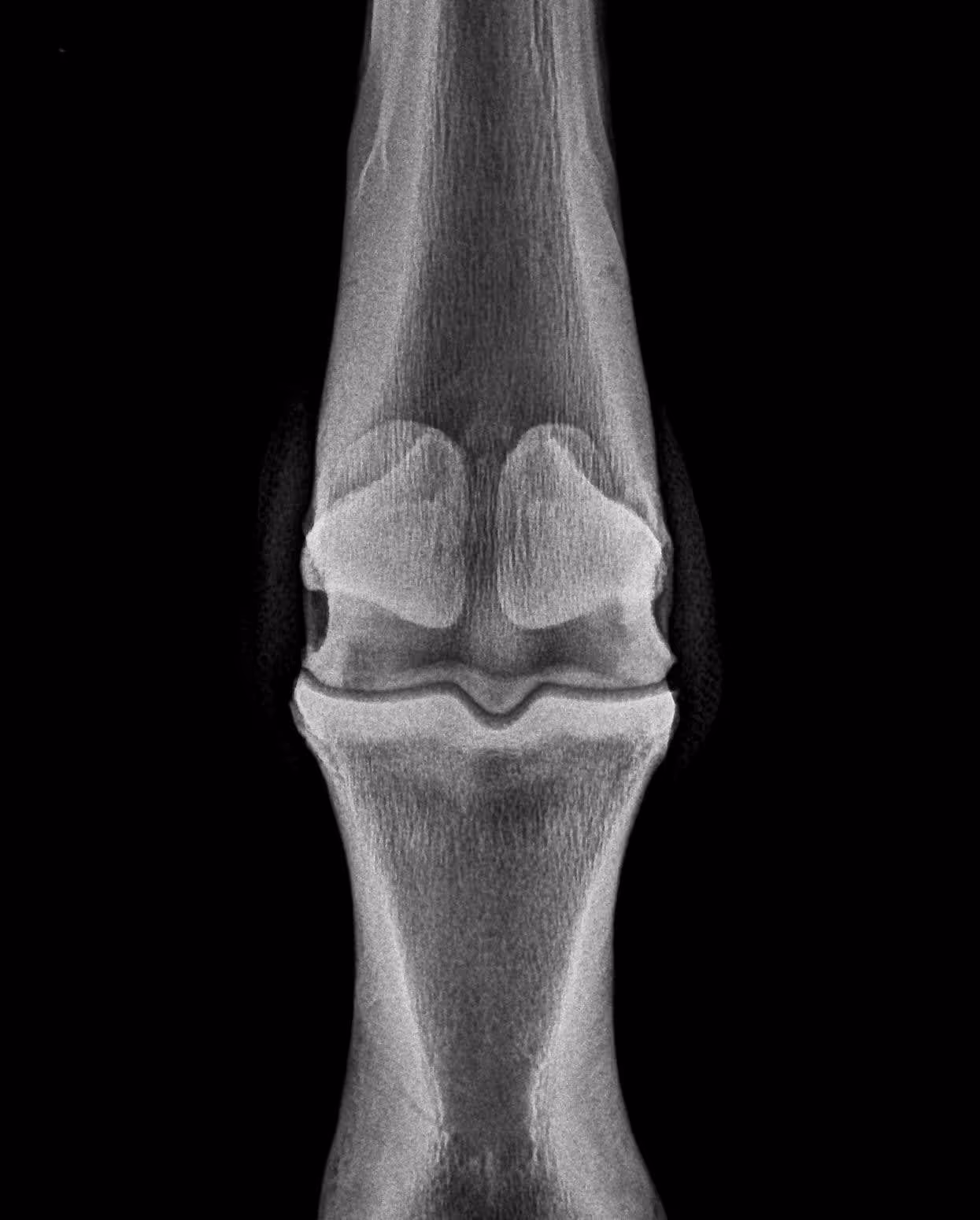
LF fetlock (LM, DLPMO, DP, DMPLO views below):
Moderate arthritis is visible as periarticular bone spurs on medial and lateral margins of P1 and MCIII. A subchondral cystic lesion is present in the medial condyle of MCIII with about 5-8mm of lost subchondral bone width. Periarticular new bone is evident at joint capsule insertions dorsally above and below the joint. Soft tissue swelling is also evident.

DMPLO (dorsomedial-palmarolateral oblique)

LM (lateromedial)

DLPM (dorsolateral-palmaromedial oblique)

DP (dorsopalmar) view. Lateral is to the right. A radiolucency is evident in the medial condyle of MCIII, extending through the subchondral plate; this is a subchondral cystic lesion.
Initial case summary and treatment plan:
Cystic lesions in this location generally carry a guarded prognosis, and in this case the associated osteoarthritis is already moderate to severe. However, some horses respond well enough to joint medication that they can continue to be used for showing on a limited basis.
Here are the treatment options that were presented to the client, in the order they would be performed; if a given plan failed, the next option could be pursued.
Plan A: Intra-articular injection with 4% PAAG, rest, shockwave (ESWT), firocoxib, clodronate
Plan B: Intra-articular injection with Autologous Conditioned Plasma (ProStride)
Plan C: Intra-articular injection with steroid
Plan D: arthroscopic surgery +/- stem cell injection IV or into joint
Recheck exam during Plan A, 4 weeks after initiating treatment:
Much reduced LF fetlock effusion—now mild. Sound at the walk. Still 1-2/5 LF lame at trot on hard ground.
Short-term outcome:
After Plan A, the horse returned to riding and showing soundness for 1 year, while remaining on the daily NSAID (firocoxib).
"Multimodal therapy is often necessary in OA case management, and resulted in at least temporary success in this case. This horse had significant joint disease, but he was performing at a relatively low level of athletic intensity. Owner expectations were managed accordingly for the anticipated progression of signs and the need for ongoing management throughout the horse’s life." – Jamie Textor (DVM, PhD, DACVS, DACVSMR) and Director of Customer Success North America at Sleip